
Böcek ısırığı sandılar, yorgun mermi çıktı
Adana'da 6 yaşındaki çocuk, oyun oynarken sırtına isabet eden yorgun mermi ile yaralandı.
Adana'da 6 yaşındaki çocuk, oyun oynarken sırtına isabet eden yorgun mermi ile yaralandı. Küçük kızın annesi Canan Ergün, "İnsanlar zevkleri için silah sıkmasınlar. Bir kutlama yaparken silah kullanmasınlar" dedi.

Edinilen bilgiye göre olay, merkez Seyhan ilçesi Aydınlar Mahallesi'nde geçen cuma günü meydana geldi. İddiaya göre, 6 yaşındaki Meliha Beray Ergün oturdukları sitenin bahçesinde oyun oynarken biranda yere yığıldı. Aile, kızlarının sesini duymaları üzerine hemen aşağı indi. Küçük kız, "Sırtımı herhalde böcek ısırdı, çok ağrıyor" dedi.

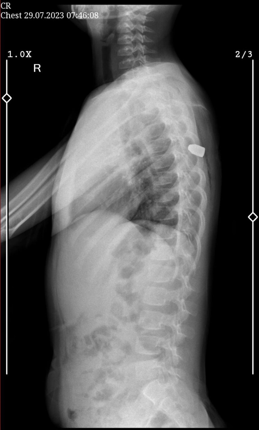
Aile kızlarını Adana Şehir Eğitim ve Araştırma Hastanesi'ne götürdü. Burada çekilen ultrasonda Meliha'nın sırtına yorgun mermi isabet ettiği tespit edildi. Hemen ameliyata alınan ve hayati tehlikeyi atlatan Meliha'nın hastanede tedavisi sürüyor.

"Biz her gün orada silah sesi duyuyoruz"
Anne Canan Ergün, "Kızımın sırtına kurşun girmiş. Biz bunu ultrason sonucuyla öğrendik. Yetkilerin bunu araştırmasını istiyoruz. Biz her gün orada silah sesi duyuyoruz. Çocuklarımızı aşağı indirip oynatamayacaksak ne yapalım artık. Çocuklarımız artık korkuyor. Hayati tehlike şu anda yok" ifadelerini kullandı.

"Yetkili olmayan insanlar silah kullanmasın"
Kızının sağlık durumunun iyiye gittiğini söyleyen anne Ergün, "Şu anda tedavimiz devam ediyor ve kalıcı bir şey olmayacak inşallah. Çocuk daha bunun yorgun mermi olduğunu bilmiyor. Bize sırtının böcek ısırdığını söylüyor. Yetkili olmayan insanlar silah kullanmasınlar. Zevkleri için silah sıkmasınlar. Bir kutlama yaparken silah kullanmasınlar. Bunu istiyoruz. Ben hep haberlerde duyup üzülürdüm, şimdi bizim başımıza geldi" diye konuştu.





HABERE YORUM KAT
Türkçe karakter kullanılmayan ve büyük harflerle yazılmış yorumlar onaylanmamaktadır.