
Küçük Yağmur maganda kurşunuyla yaşayacak
Husumetli iki aile arasında çıkan kavgada 4 zanlı gözaltına alındı
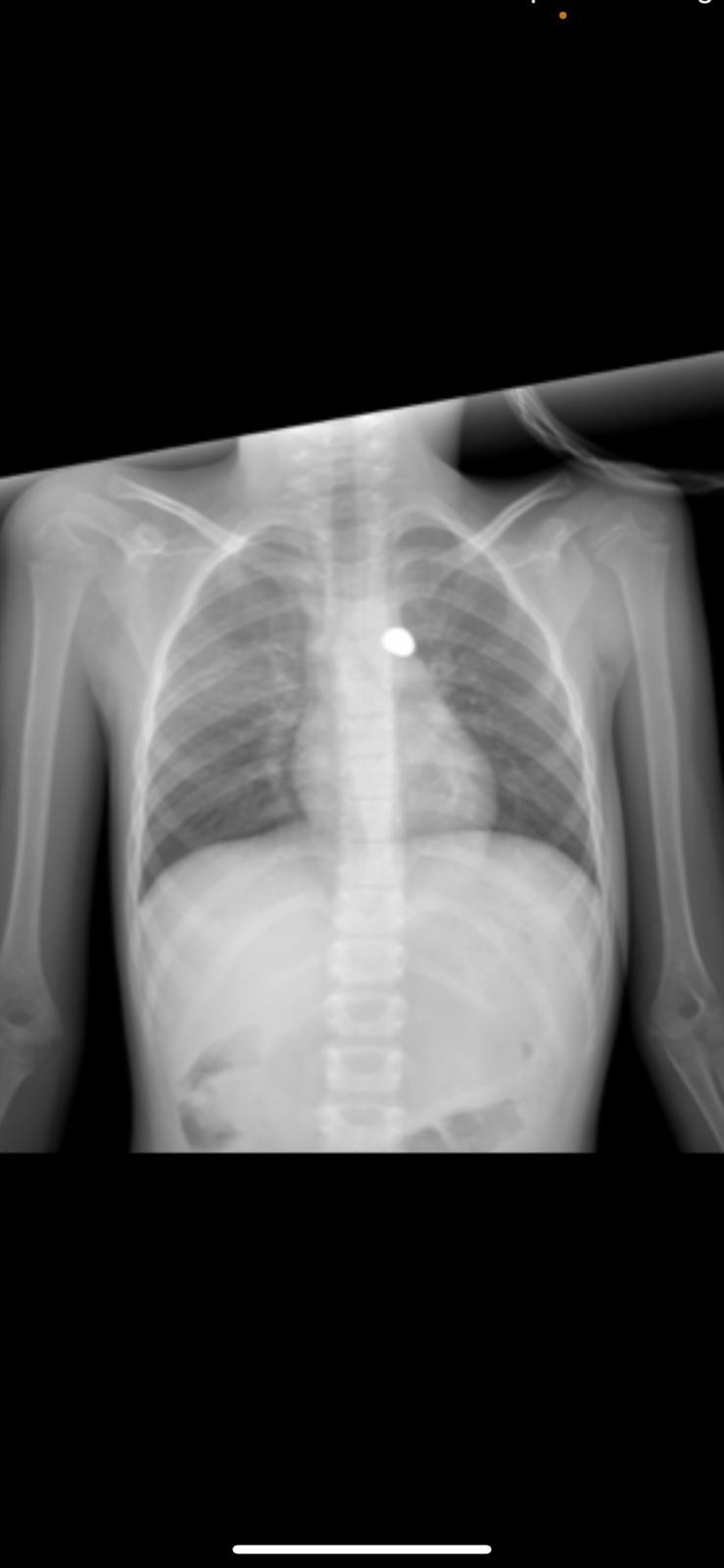
Adana’da 7 yaşındaki Yağmur sokakta oyun oynarken, husumetli iki aile arasında çıkan silahlı kavgada sırtına isabet eden kurşunla hastanelik oldu. Küçük Yağmur'un sırtındaki mermi çıkartılamadı.
Edinilen bilgiye göre, olay Seyhan ilçesine bağlı Gülbahçesi Mahallesinde meydana geldi. 7 yaşındaki Yağmur Demir, arkadaşlarıyla oynamak için evlerinden sokağa çıktı.
Bu sarada, daha önce aralarında arazi paylaşımı yüzünden husumet olan D. ve U. ailelerinden Mesut D. bisikletiyle sokağa çıkarak Eyüp U.’nun otomobiline çarparak dikiz aynasına zarar verdi.
Bu nedenle Mesut D. ile Eyüp U. arasında kavga çıktı. Kısa sürede kavgaya Abdülkadir D. ile U. ailesinden Derviş (36) Halil (59), Ramazan (26) ve Şahin U. (31) karıştı. Kavgada Ramazan U. tabanca kullanırken diğer şahıslar da bıçak ve sopa kullandı.

Sokakta oynarken sırtına mermi girdi
Bu esnada sokakta oyun oynayan Yağmur Demir’in sırtına, iddiaya göre, Ramazan U.’nun tabancasından çıkan mermi isabet etti. Olayda Abdülkadir D. bıçakla Mesut D. ise sopa ile yaralandı.
Zanlılar kız çocuğunun yaralandığını görünce olay yerinden kaçtı. Yaralılar kısa sürede olay yerine gelen ambulanslarla hastanelere kaldırıldı.
Durumu ağır olan kız çocuğu önce özel bir hastaneye kaldırıldı. Burada yapılan ilk müdahalenin ardından kız çocuğu Çukurova Üniversitesi Tıp Fakültesi Balcalı Hastanesine sevk edildi.

Artık maganda mermisiyle yaşayacak
Bu arada hastanede yapılan tedavilerin ardından Yağmur Demir hayati tehlikeyi atlattı. Ancak kız çocuğunun sırtından giren mermi sürekli hareket ettiği için alınamadı. Hastanede tedavisi devam eden kız çocuğunun vücudundaki merminin şimdi alınamayacağı hareketi durduğu zaman kontrol edilip ancak o zaman alınacağı öğrenildi.
Bu arada, Adana Emniyet Müdürlüğü Asayiş Şube Müdürlüğüne bağlı Cinayet Büro Amirliği dedektifleri de zanlıları yakalamak için çalışma başlattı. Yapılan çalışmada polis kavgaya karışan Ramazan, Derviş, Halil ve Şahin U.‘yu gözaltına aldı. Polis yaptığı aramalarda olayda kullanılan tabancayı da ele geçirdi.
Zanlılar ifadelerinde D. ailesi ile eskiden aralarında arsa yüzünden husumet olduğunu olay günü de Mesut D.’nin akrabaları Eyüp U.’nun aracına zarar verdiği için kavga çıktığını olayda masum bir kız çocuğu yaralandığı için pişman olduklarını söyledikleri öğrenildi.
Zanlılar sorgularının ardından adliyeye sevk edildi. Zanlılardan Ramazan ve Derviş U. tutuklanırken, diğer iki zanlı tutuksuz yargılanmak üzere serbest bırakıldı.



HABERE YORUM KAT
Türkçe karakter kullanılmayan ve büyük harflerle yazılmış yorumlar onaylanmamaktadır.